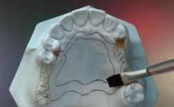
DAS lichthärtende Wachs

Das metacon System kombiniert auf ideale Weise Wachs- und Kunststoffanteile mit Fotoinitiatoren. So lässt sich das Material vor der Lichthärtung wie Wachs verarbeiten. Durch Polymerisation wird das metacon Wachs zu Kunststoff.

Teilprothetik